双美网欢迎您来到全国整形|眼科|口腔医院免费预约咨询官网

双美网

您的位置: 双美网 > 医院 > 北京爵冠口腔新桥大街店

北京爵冠口腔新桥大街店

北京爵冠口腔新桥大街店

医疗许可证号:

医院地址: 门头沟区新桥南大街13号院1号楼1-2层东1-8、南1-1号

擅长项目: 种植牙,洗牙,牙齿矫正,烤瓷牙,根管治疗,补牙,全瓷牙,地包天,牙齿美白,儿童齿科

联系方式:400-8392-968

医院性质: 私立

发布时间: 2025-10-14 12:15:03

预约

北京爵冠口腔新桥大街店介绍

在北京爵冠口腔新桥大街店,始终秉持着为广大患者提供专精、优质口腔医疗服务的宗旨,致力于打造一个温馨、舒适且效率高的口腔诊疗环境。这里汇聚了一批经验多、技术不错的口腔医生,他们凭借着专精的知识和娴熟的技能,为每一位患者制定个性化的治疗方案,让患者能够拥有健康、美丽的牙齿。

【北京爵冠口腔新桥大街店怎么样】

【北京爵冠口腔新桥大街店怎么样】

北京爵冠口腔新桥大街店是一家备受瞩目的口腔医疗机构。它拥有宽敞明亮的诊疗空间,内部装修温馨舒适,为患者营造了一个轻松的就诊氛围。医院引进了精良的口腔诊疗设备,能够精细地诊断各种口腔问题。同时,医院的医护人员服务热情周到,从患者进门的那一刻起,就会有专人引导,解答患者的疑问,让患者感受到家一般的温暖。在治疗过程中,医生会详细地向患者解释病情和治疗方案,让患者充分了解自己的口腔状况,做到心中有数。

【北京爵冠口腔新桥大街店是正规的吗】

【北京爵冠口腔新桥大街店是正规的吗】

北京爵冠口腔新桥大街店是一家正规的口腔医院。它具备完善的执业信息,经过了相关部门的严格审核和批准,拥有合法的经营资质。医院的医生都具备专精的执业资格证书,他们在口腔医学领域拥有丰富的临床经验。医院使用的医疗器械和药品都符合国内相关标准,严格把控质量关,确保患者的治疗安心和成效。

【北京爵冠口腔新桥大街店是私立还是公办】

【北京爵冠口腔新桥大街店是私立还是公办】

北京爵冠口腔新桥大街店是一家私立口腔医院。与公办医院相比,私立医院更加注重患者的个性化需求和服务体验。北京爵冠口腔新桥大街店拥有灵活的运营机制,能够及时引进精良的技术和设备,不断提升自身的医疗水平。同时,医院还注重 医护人员的服务培训,为患者提供更加贴心、周到的服务。在私立医院就诊,患者可以享受到更加舒适的就诊环境和更短的等待时间,能够更好地满足患者的就医需求。

【北京爵冠口腔新桥大街店擅长什么项目】

【北京爵冠口腔新桥大街店擅长什么项目】

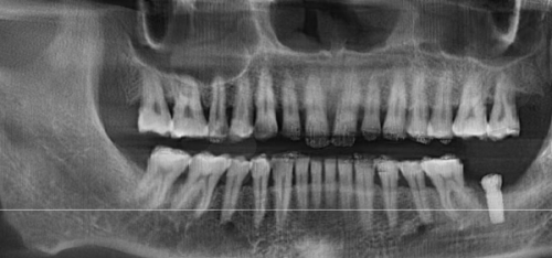
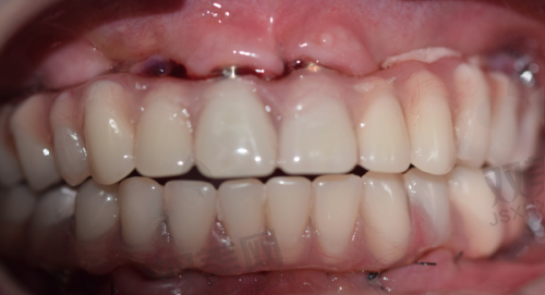
北京爵冠口腔新桥大街店擅长的项目丰富多样,涵盖了口腔种植、牙齿正畸、口腔修复、牙周治疗、儿童口腔等多个领域。在口腔种植方面,医院采用精良的种植技术,为缺失牙患者提供稳固、美观的种植修复方案;牙齿正畸项目中,医生会根据患者的牙齿情况和面部特征,制定个性化的正畸方案,帮助患者拥有整齐洁白的牙齿;口腔修复则包括烤瓷牙、全瓷牙、活动假牙等多种修复方式,能够有效改善牙齿的外观和功能;牙周治疗能够专精地治疗各种牙周疾病,维护口腔健康;儿童口腔项目则针对儿童的口腔特点,开展预防龋齿、牙齿涂氟、窝沟封闭等服务,培养儿童良好的口腔卫生习惯。

【北京爵冠口腔新桥大街店营业时间是什么时候】

【北京爵冠口腔新桥大街店营业时间是什么时候】

北京爵冠口腔新桥大街店的营业时间为9点到18点。这样的营业时间设置充分考虑了患者的需求,方便上班族和学生在工作或学习之余前来就诊。无论是工作日还是休息日,患者都能够找到合适的时间到医院进行口腔检查和治疗。而且医院在营业时间内安排了充足的医护人员,确保患者能够得到及时、有效的治疗。

【北京爵冠口腔新桥大街店技术特点】

【北京爵冠口腔新桥大街店技术特点】

精良的诊疗技术:北京爵冠口腔新桥大街店不断引进国内外精良的口腔诊疗技术,如数字化口腔种植技术、隐形正畸技术等。数字化口腔种植技术能够通过计算机模拟种植过程,精细定位种植体的位置,提高种植成功几率;隐形正畸技术则具有美观、舒适、可摘戴等优点,让患者在不知不觉中完成牙齿矫正。

个性化的治疗方案:医院的医生会根据每一位患者的口腔状况、身体状况和个人需求,制定个性化的治疗方案。无论是口腔种植、牙齿正畸还是其他口腔治疗项目,都充分考虑患者的实际情况,确保治疗成效达到至佳。

优质的服务体验:医院注重患者的服务体验,从预约挂号到治疗结束,全程为患者提供优质的服务。医护人员会耐心解答患者的疑问,关心患者的治疗感受,让患者在轻松愉快的氛围中完成治疗。

【北京爵冠口腔新桥大街店电话号码是多少】

【北京爵冠口腔新桥大街店电话号码是多少】

北京爵冠口腔新桥大街店的电话号码是400###986,患者可以通过拨打这个电话进行询问、预约挂号等。

【北京爵冠口腔新桥大街店地址在哪里】

【北京爵冠口腔新桥大街店地址在哪里】

北京爵冠口腔新桥大街店的地址是门头沟区新桥南大街13号院1号楼1-2层东1-8、南1-1号

【北京爵冠口腔新桥大街店怎么预约挂号】

【北京爵冠口腔新桥大街店怎么预约挂号】

患者可以通过以下几种方式进行预约挂号:一是拨打医院的预约电话,与工作人员沟通预约时间;二是在医院的法定网站或微信公众号上进行在线预约,填写个人信息和预约时间;三是直接到医院的前台进行现场预约。多种预约方式方便了不同需求的患者,让患者能够更加便捷地就诊。

北京爵冠口腔新桥大街店

本院医生推荐

北京爵冠口腔新桥大街店
北京爵冠口腔新桥大街店

本院项目推荐

北京爵冠口腔新桥大街店
北京爵冠口腔新桥大街店

本院优惠推荐

北京爵冠口腔新桥大街店

本院用户评论

评价 (已有0人点评)

热门推荐医院

更多 >