双美网欢迎您来到全国整形|眼科|口腔医院免费预约咨询官网

双美网

您的位置: 双美网 > 医院 > 北京拜博口腔望京西门诊部

北京拜博口腔望京西门诊部

北京拜博口腔望京西门诊部

医疗许可证号:

医院地址: 北京市朝阳区湖光中街南湖西园216号楼2层

擅长项目: 种植牙,洗牙,牙齿矫正,烤瓷牙,补牙,全瓷牙,牙齿美白,儿童齿科

联系方式:400-8392-968

医院性质: 私立

发布时间: 2025-10-14 12:04:02

预约

北京拜博口腔望京西门诊部介绍

在北京望京西,有一家备受瞩目的口腔门诊部——北京拜博口腔望京西门诊部。它在当地口腔医疗领域有着一定的影响力,为众多患者解决了口腔问题,提供了优质的口腔医疗服务。下面将为大家详细介绍这家口腔门诊部。

【北京拜博口腔望京西门诊部怎么样】

【北京拜博口腔望京西门诊部怎么样】

北京拜博口腔望京西门诊部是一家专注于口腔健康的专精医疗机构。门诊部环境舒适宜人,拥有现代化的装修风格,宽敞明亮的候诊区和温馨舒适的诊疗室,让患者在就诊过程中感受到家一般的温暖。这里的医护人员都具备专精的口腔医学知识和丰富的临床经验,他们始终秉持着“以患者为中 心”的服务理念,为每一位患者提供个性化、全方面的口腔医疗服务。无论是简单的牙齿清洁,还是复杂的口腔正畸、种植牙手术等,门诊部都能凭借不错的技术和精良的设备为患者提供满意的治疗成效。

【北京拜博口腔望京西门诊部是正规的吗】

【北京拜博口腔望京西门诊部是正规的吗】

北京拜博口腔望京西门诊部是一家正规的口腔医疗机构。它拥有相关的执业许可证和资质证书,所有的医护人员都具备合法的从业资格。门诊部严格遵守国内相关的医疗法规和行业规范,从医疗器械的采购、使用到医疗服务的各个环节,都进行严格的质量把控和管理,确保患者的医疗安心和治疗成效。同时,门诊部还不断引进精良的口腔医疗技术和设备,提升自身的医疗水平和服务质量,为患者提供更加优质、安心的口腔医疗服务。

【北京拜博口腔望京西门诊部是私立还是公办】

【北京拜博口腔望京西门诊部是私立还是公办】

北京拜博口腔望京西门诊部是一家私立口腔门诊部。与公办医院相比,私立口腔门诊部具有自身独特的优势。首先,私立门诊部的服务更加灵活多样,能够根据患者的不同需求和时间安排,提供个性化的预约服务,减少患者的等待时间。其次,私立门诊部注重患者的就医体验,从环境的打造到服务的细节,都力求为患者提供更加舒适、温馨的就诊环境。此外,私立门诊部还拥有精良的医疗设备和专精的医护团队,能够为患者提供高质量的口腔医疗服务。北京拜博口腔望京西门诊部凭借其专精的技术、优质的服务和良好的口碑,在当地口腔医疗市场中占据了一席之地。

【北京拜博口腔望京西门诊部擅长什么项目】

【北京拜博口腔望京西门诊部擅长什么项目】

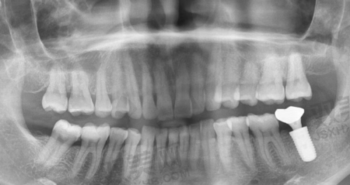
北京拜博口腔望京西门诊部擅长的项目较为丰富,涵盖了口腔正畸、口腔种植、口腔修复、牙齿美白、儿童口腔等多个领域。在口腔正畸方面,门诊部拥有多种正畸技术,如传统金属托槽矫正、陶瓷托槽矫正、隐形矫正等,能够根据患者的牙齿情况和需求,制定个性化的正畸方案。在口腔种植方面,门诊部引进了精良的种植系统和技术,由经验多的种植医生进行操作,确保种植成效的稳定性和美观性。在口腔修复方面,门诊部提供烤瓷牙、全瓷牙、活动假牙等多种修复方式,满足患者不同的修复需求。牙齿美白项目采用安心有效的美白技术,能够快速改善牙齿的色泽,让患者拥有洁白亮丽的牙齿。儿童口腔方面,门诊部针对儿童的口腔特点,开展了龋齿防治、窝沟封闭、儿童正畸等项目,为儿童的口腔健康保驾护航。

【北京拜博口腔望京西门诊部技术特点】

【北京拜博口腔望京西门诊部营业时间是什么时候】

北京拜博口腔望京西门诊部的营业时间为[具体营业时间]。这样的营业时间安排具有一定的优势,一方面,它能够满足上班族和学生的就诊需求,患者可以在工作日的下班后或者周末前来就诊,无需请假耽误工作或学习。另一方面,较长的营业时间也为一些突发口腔问题的患者提供了及时就诊的便利,确保患者能够得到及时的治疗。

【北京拜博口腔望京西门诊部技术特点】

【北京拜博口腔望京西门诊部技术特点】

北京拜博口腔望京西门诊部在技术方面具有以下特点:首先,门诊部引进了精良的口腔医疗设备,如口腔CT、数字化牙片机、隐形矫正设计系统等,这些设备能够为医生提供正确的诊断依据,提高治疗的精细度和成效。其次,门诊部注重技术创新和人才培养,定期组织医生参加国内外的学术交流和培训活动,不断学习和掌握全新的口腔医疗技术和理念,为患者提供更加优质、效率高的口腔医疗服务。此外,门诊部还采用了数字化口腔技术,如数字化正畸、数字化种植等,实现了口腔治疗的精细化、个性化和效率高化,大大缩短了治疗周期,提高了患者的满意度。

【北京拜博口腔望京西门诊部电话号码是多少】

【北京拜博口腔望京西门诊部电话号码是多少】

北京拜博口腔望京西门诊部的电话号码是138****1234,患者可以通过拨打这个电话进行询问、预约挂号等服务。

【北京拜博口腔望京西门诊部地址及乘车路线】

【北京拜博口腔望京西门诊部地址及乘车路线】

北京拜博口腔望京西门诊部的地址是北京市朝阳区湖光中街南湖西园216号楼2层

关于乘车路线,患者可以选择以下方式:

驾车:可根据导航软件输入门诊部地址,选择合适的路线前往。门诊部周边有停车场,方便患者停车。

【北京拜博口腔望京西门诊部怎么预约挂号】

【北京拜博口腔望京西门诊部怎么预约挂号】

北京拜博口腔望京西门诊部提供多种预约挂号方式,方便患者就诊。患者可以通过以下方式进行预约挂号:

1. **电话预约**:拨打门诊部的询问电话,告知工作人员预约的时间、科室和医生等信息,工作人员会为患者进行登记和安排。

2. **网络预约**:登录门诊部的法定网站或相关医疗服务平台,在网上预约挂号系统中填写个人信息和预约信息,提交后等待系统审核和确认。

3. **现场预约**:患者可以直接前往门诊部的前台,向工作人员说明预约需求,工作人员会帮助患者完成预约挂号手续。

4. **微信公众号预约**:关注北京拜博口腔望京西门诊部的微信公众号,在公众号菜单中选择“预约挂号”选项,按照提示进行操作即可完成预约。

总之,北京拜博口腔望京西门诊部是一家值得信赖的口腔医疗机构,它凭借专精的技术、优质的服务和良好的口碑,为患者提供了全方面的口腔医疗服务。如果您有口腔问题,不妨选择北京拜博口腔望京西门诊部,让专精的医生为您解决口腔困扰。

北京拜博口腔望京西门诊部

本院医生推荐

北京拜博口腔望京西门诊部
北京拜博口腔望京西门诊部

本院项目推荐

北京拜博口腔望京西门诊部
北京拜博口腔望京西门诊部

本院优惠推荐

北京拜博口腔望京西门诊部

本院用户评论

评价 (已有0人点评)

热门推荐医院

更多 >