当前位置:主页 > 知识 > 补虫牙用的美国3m树脂z350和z250的区别在哪里,从材料、适用情况、价格来对比
“补个牙,一问价格怎么差这么大?!”如果你最近在考虑补牙,医院医生给你推荐了3M家的Z250、Z350、P60这几个选项,那你是不是会和大多数人一样脑中浮现出一个大大的问号:“到底有啥区别?选贵的就对了?”别急!今天这篇就像是你牙齿的小指南针,我们一起把这些热门“树脂补牙选手”扒个底朝天,看看到底哪个才是更适合你的那颗“虫虫危机”!

首先,明确点,Z250和Z350都来自美国有名口腔材料品牌——3M,通通属于“复合树脂材料”。但!细节决定成败,一对比,Z350瞬间变身“科技树脂选手”。
Z250的原料填料以超微颗粒为主,属于“复合树脂”基础款;而Z350走的是“纳米树脂”路线,填料粒径细到纳米级别,意味着它在颜色通透度、抛光度、边缘密合性上,都是更出彩的那一个!
简单点说,Z250适合追求经济耐用款的朋友,是那种“经济适用男”。Z350则是“容貌与内涵并存”的升级版,补完真的看不出痕迹,谁用谁说好!

这个问题真的太多人问了,医生也经常根据“补在哪”来给你推荐材料的。别觉得医生坑人,其实这是有讲究的:
Z250属于“通用版”,前牙后牙都能用,特别适合中小范围龋洞,或者“经济预算有限”又想要补牙的人群。
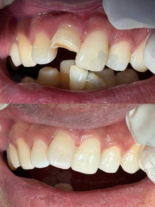
Z350呢?更适合对“外观+耐用”要求较高的人,尤其是补前牙或者面部暴露牙齿,比如门牙切角缺损之类的,它的“隐身术”成效真的特别绝——颜色贴合真牙、看不出补过!
如果是深龋、大牙真的欠了一大块,医生可能会建议你P60上场——一个主打硬度担当的猛男选手(咳,不好意思树脂太多比喻一下 ?)。

这是大家更关心、也是争议更多的点。毕竟同样是补个牙,Z250一般价格在180-250元左右,而Z350价格可以到400-600元——有些地方甚至更高!
我们来直接看一个简单的对比表格,摸摸自己的钱包,感受一下: 3M树脂补牙价格对比表(参考均价)
| 材料型号 | 访问价格(元) | 适用牙齿区域 | 主要特点 |
|---|---|---|---|
| Z250 | 180-250元 | 前牙、后牙 | 经济适用、颜色接近真牙、硬度中等 |
| Z350 | 400-600元 | 门牙、美观区 | 纳米填料、仿真度高、耐磨性出色 |
| P60 | 280-450元 | 后牙大面积修复 | 高强度、不粘器械、修复咀嚼力更强 |
但注意:贵不一定更好,重点是“合适”。就像穿衣服一样,L码穿到M码身上也没用。选补牙材料,也得先看你牙齿在哪、缺了多大块、美观是不是刚需这些因素。

特别多爱美的姐妹会在意“补牙会不会一笑就被看穿?”特别是门牙、切角这些位置,颜色贴合真的超级重要。
Z250提供4种基础牙色,基本能满足日常修复需求,属于“能看,不出挑”;Z350则是“调色盘本人”。直接提供36种颜色,还分牙体色、釉质色、牙本质色、透明色,简直就是艺术家级别的修复材料。
所以如果你对“补得看不出来”这块墙头草特别在意,那Z350真的闭眼冲。如果是后牙部位,自己看不到别人也不会注意,Z250完全地也能胜任,没毛病!

特别多人听医生说“Z350耐磨性更强”就以为Z250不经用,其实也不全是这样。Z250属于复合树脂里的老将了,正常使用下,维持个几年是没问题的。
Z350在抛光后的表面硬度、耐磨性、密封性上表现更好一些,理论上能维持10年甚至更久,特别是对“打磨抛光要求高”的需求,它优势确实更明显。
所以追求一劳永逸?可以投票Z350;定期检查、能接受几年换一次?Z250真的性价比高到飞起!

这个也是特别多人在修复期担心的点:“我补牙后会一直酸酸痛痛吗?”咱直接说结论:
Z250和Z350其实都已经是非常成熟的材料了,术后敏感已经控制得不错。但Z350因为对牙体组织张力更温和,术后敏感发生率相对Z250更低一些,修复期也更快。
如果你属于“敏感星人”,喝凉水都酸倒牙的类型,那还是建议直接选Z350吧,少受罪多舒心。

特别多人一听P60以为是Z系列的升级,其实压根不是一个线的。P60是3M专门为“后牙大面积龋洞”开发的,走“修复咀嚼”和“强度爆表”路线的,是另一种思路。
它的优势包括:
✅ 极高硬度,郑重处理像银汞那种能扛咬合力的材料的替代品;
✅ 操作性极强、不粘器械,医生用起来就是一个顺手;
✅ 与牙体结合紧密,边缘封闭性出色,有效预防二次龋坏。
想要“吃肉不怕咬牙断”的老铁,P60就是你的救星了!美观啥的它没Z350强,但耐用和实用感堪称“树脂界的砖头”,高强度贼适合大牙补大坑!

末尾我们来一个“人群+牙齿状况”配对图表,看你属于哪一类,对应闭眼买就行?
| 人群需求 | 建议选择 | 选它的理由 |
|---|---|---|
| 预算有限,补牙频次可容忍 | Z250 | 价格低、颜色不错、日常使用无压力 |
| 门牙、前牙缺损,重视外貌党 | Z350 | 仿真度高、36色可调、不易染色、术后舒适 |
| 后牙大坑、需要吃坚果咬骨头 | P60 | 高硬度、强咬力修复强、后牙扛造 |
| 怕疼、术后怕牙酸、嘴特别敏感 | Z350 | 术后敏感率低、疗效稳定 |

3M Z250、Z350、P60哪个更好?真没有一个准标准!关键是看补在哪、个人预算和对牙齿美观的重视程度。补牙这事儿就跟买衣服一样:合身才是更重要的!
如果你还有更多关于“牙齿敏感”“补牙疼不疼”“能不能医疗保险报销”“哪个牙科靠谱”等等困扰,欢迎评论区留言 or 点赞收藏~作为你的小牙助手,我随时随地陪你变漂亮 ? !
上一篇:成都致远口腔诊所牙痛治疗体验:专業的医疗服务与舒适的就诊环境让我重拾自信的笑容。
下一篇:没有了