当前位置:主页 > 问答 > 探秘种植义齿:含义、价格、适应症及修复固位方式大辩论
在社交平台上,种植义齿的话题热度居高不下,许多人分享着自己种牙后的良好体验,从修复正常咀嚼功能到提升面部美观度,种种好处令人心动。然而,不少用户心中也存在着诸多质疑:种植义齿到底是什么?价格为何相差悬殊?自己是否适合种植?修复固位方式又该如何选择?接下来,我们就一起深入探秘种植义齿。

种植义齿并不是真正意义上的种上自然牙齿,而是通过外科手术的方式将人工牙根(种植体)植入缺牙区的牙槽骨内,经过一段时间(通常为3 - 6个月),使种植体与牙槽骨形成牢固的骨结合,然后安装基台、牙冠,从而修复牙齿的形态和功能。它就像给缺失牙齿的部位重新“建造”了一颗新牙,在外观和功能上都与自然牙十分接近。与传统假牙相比,种植义齿具有稳定性好、咀嚼效率高、不损伤邻牙等优点。

市场上种植体品牌众多,不同品牌的种植体在材质、工艺、设计等方面存在差异,这直接影响了价格。例如,一些进口有名品牌的种植体,由于其研发成本高、制作工艺精良、临床应用时间长、成功几率有保护,价格相对较高。而一些国产品牌的种植体,在确保质量的前提下,价格会较为亲民。患者可以根据自己的经济状况和医生的建议来选择合适的种植体品牌。

牙冠是种植义齿暴露在口腔内的部分,其材料的不同也会导致价格有所不同。常见的牙冠材料有金属冠、烤瓷冠和全瓷冠。金属冠价格相对较低,但美观性较差;烤瓷冠结合了金属的强度和瓷的美观,价格适中;全瓷冠具有良好的美观性和生物相容性,是目前较为理想的牙冠材料,但价格也相对较高。患者可以根据自身需求和预算来挑选合适的牙冠材料。

每个患者的口腔情况各不相同,这也会对种植义齿的费用产生影响。如果患者的牙槽骨条件良好,种植手术相对简单,费用也会较低。但如果患者存在牙槽骨骨量不足的情况,可能需要精良行骨增量手术,增加牙槽骨的高度和宽度,这就会增加治疗的复杂性和费用。此外,患者的全身健康状况、是否需要进行其他辅助治疗等因素,也会在一定程度上影响更终的价格。

对于单颗牙缺失的患者,种植义齿是一种非常理想的修复方式。它不需要磨损相邻的健康牙齿来进行固定,能够独立地修复缺失牙的功能和美观。而且种植义齿的稳定性和舒适度都特别高,患者在使用过程中几乎感觉不到与自然牙的差异。例如,李先生因意外导致一颗门牙缺失,在进行种植义齿修复后,不仅修复了美观,咀嚼功能也完全不受影响,个体成效存在差异。

多颗牙缺失会重度影响患者的咀嚼功能和生活质量。种植义齿可以通过合理的设计和布局,为多颗牙缺失的患者提供稳定的修复方案。可以选择种植多颗种植体来支撑多个牙冠,也可以采用种植覆盖义齿的方式,减少种植体的数量,降低成本。张女士由于牙周病导致多颗后牙缺失,通过种植义齿修复,重新修复了正常的咀嚼能力,生活也更加舒心,个体成效存在差异。

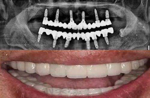
全口牙缺失的患者面临着更为严峻的问题,传统假牙在稳定性和咀嚼效率上往往难以满足需求。种植义齿对于全口牙缺失患者来说,是一种革命性的解决方案。可以通过种植4 - 8颗种植体,采用全口种植固定义齿或全口种植覆盖义齿的方式,为患者提供牢固的支撑,大大提高咀嚼效率和舒适度。王大爷全口牙缺失多年,佩戴传统假牙总是不舒服,种植义齿让他重新找回了享受美食的乐趣,个体成效存在差异。

如果患者患有重度的心血管疾病、未控制的糖尿病、血系统疾病、精神疾病等全身性疾病,可能无法耐受种植手术。因为种植手术是一种有创操作,在手术过程中可能会对患者的身体造成一定的负担,加重原有疾病的病情。例如,重度心脏病患者在手术过程中可能会出现心脏问题,所以在进行种植义齿手术前,需要对患者的全身健康状况进行全方面评估。

牙槽骨是种植体的“土壤”,如果牙槽骨骨量重度不足、骨质疏松或患有牙槽骨疾病,种植体可能无法与牙槽骨形成良好的骨结合,导致种植失败。对于牙槽骨条件不佳的患者,可能需要精良行骨增量手术或其他治疗,改善牙槽骨条件后再考虑种植义齿。但并不是所有牙槽骨条件不好的患者都能通过治疗达到种植要求。

口腔局部存在炎症,如牙周炎、牙龈炎等,如果不进行治疗就进行种植手术,炎症可能会影响种植体与牙槽骨的结合,增加种植失败的风险。在进行种植义齿之前,需要先对口腔进行全方面检查和治疗,消除炎症,确保口腔环境健康。此外,长期服用某些特殊药物(如抗凝药、双膦酸盐类药物等)的患者,也需要在医生的指导下调整用药或采取相应措施后再考虑种植。

螺丝固位是通过螺丝将牙冠固定在基台上。这种修复固位方式的优点是安装和拆卸较为方便,便于医生进行检查、维修和更换。如果牙冠出现问题,可以直接拧开螺丝进行处理。而且螺丝固位的稳定性较好,能够承受较大的咀嚼力。但螺丝固位也有一定的缺点,比如在牙冠表面会有螺丝孔,可能会影响美观,需要使用树脂等材料进行填充。

粘接固位是使用专用的粘接剂将牙冠固定在基台上。这种方式的优点是美观性好,牙冠表面没有螺丝孔,与自然牙更为相似。而且粘接固位的密封性较好,能够防止食物残渣和细菌进入种植体周围。然而,粘接固位的牙冠一旦出现问题,拆卸相对困难,可能需要破坏牙冠才能进行维修或更换。同时,如果粘接剂使用不当,可能会导致粘接不牢固或出现边缘微渗漏等问题。

在选择修复固位方式时,需要综合考虑多方面因素。如果患者对美观要求较高,且牙冠不易出现问题,粘接固位可能是较好的选择;如果患者需要方便日后的检查和维修,或者牙冠可能需要经常更换,螺丝固位则更为合适。此外,医生的经验和建议也非常重要,他们会根据患者的具体情况,如种植体的位置、牙冠的设计、患者的口腔条件等,为患者推荐更适合的修复固位方式。
综上所述,种植义齿为牙齿缺失的患者带来了良好的解决方案,但在选择种植义齿时,患者需要了解其定义、价格差异、适应症、不适应症以及修复固位方式等方面的知识。同时,一定要选择正规的医疗机构和有经验的医生进行治疗,以确保种植义齿的成效和安心性。如果您对种植义齿还有更多疑问,建议询问专精医生,他们会为您提供更详细的解答和个性化的治疗方案。