双美网欢迎您来到全国整形|眼科|口腔医院免费预约咨询官网

双美网

当前位置:主页 > 问答 > 种牙与假牙全方位对比:哪个更好、更耐用、更美观?材质及挂号问题全解析

种牙与假牙全方位对比:哪个更好、更耐用、更美观?材质及挂号问题全解析

发布日期:2025-10-19 08:19:02        来源: 双美网 浏览量:

在社交平台上,种牙和假牙的话题热度居高不下,特别多人都在分享自己种牙或者佩戴假牙的经历。然而,面对众多的分享和讨论,不少用户心中充满了质疑:种牙假牙到底哪个更好、更耐用、更美观呢?它们分别用的是什么材质?挂号又该怎么操作呢?今天,我们就来全方面解析这些问题。

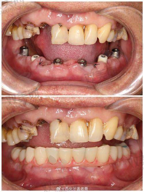
种牙与假牙的基本概念

种牙与假牙的基本概念

种牙,也就是种植牙,是一种以植入骨组织内的下部结构为基础来支持、固位上部牙修复体的缺牙修复方式。它并不是真正意义上的种上自然牙齿,而是通过外科手术的方式将人工牙根(种植体)植入缺牙区的牙槽骨内,经过一段时间(通常为3 - 6个月)使种植体与牙槽骨形成骨结合,然后安装基台、牙冠,从而修复牙齿的形态和功能。

假牙则是牙齿缺失后用于修复的替代物,主要分为活动假牙和固定假牙。活动假牙可以自行摘戴,通过卡环和基托来固位,适用于各种牙列缺损情况;固定假牙则是通过粘结剂或固定装置与缺牙两侧的天然牙连接在一起,患者不能自行摘戴。

种牙与假牙哪个更好

种牙与假牙哪个更好

从功能修复方面来看,种牙更接近自然牙。种植牙能够良好地修复牙齿的咀嚼功能,咬合力大,几乎可以和真牙相媲美。而假牙的咀嚼效率相对较低,尤其是活动假牙,在咀嚼较硬食物时可能会受到一定限制。

在舒适度上,种牙也具有优势。种植牙没有异物感,不会像活动假牙那样在口腔内产生明显的异物感和不适感,也不会影响发音。不过,种牙手术需要一定的修复期,在修复期间可能会有一些不适。

从使用寿命来说,种牙如果维护得当,可以使用较长时间,甚至终身使用。假牙的使用寿命则相对较短,活动假牙一般3 - 5年需要更换,固定假牙的使用寿命在10 - 15年左右。

种牙与假牙哪个更耐用

种牙与假牙哪个更耐用

种牙的耐用性主要取决于种植体与牙槽骨的结合情况以及患者的日常维护。种植体通常采用钛或钛合金等生物相容性好的材料,具有良好的稳定性和耐腐蚀性。只要患者保持良好的口腔卫生习惯,定期复查,种牙可以长期稳定地发挥功能。

假牙的耐用性受多种因素影响。活动假牙的基托、卡环等部件容易磨损和变形,需要定期更换。固定假牙如果基牙出现问题,如龋齿、牙周炎等,可能会影响其使用寿命。总体而言,种牙在耐用性方面相对更有优势。

种牙与假牙哪个更美观

种牙与假牙哪个更美观

种牙在美观度上表现出色。种植牙的牙冠颜色和形态可以根据患者的口腔情况和邻牙进行个性化定制,与天然牙非常相似,几乎可以达到以假乱真的成效,不会影响面部美观。

假牙的美观度也在不断提高。活动假牙的基托颜色可以选择与口腔黏膜相近的颜色,减少外露感;固定假牙的烤瓷牙和全瓷牙也能较好地模拟天然牙的外观。但相比之下,种牙在美观度上更加自然、逼真。

种牙与假牙的材质解析

种牙与假牙的材质解析

种牙的种植体常用材质是钛及钛合金。钛具有良好的生物相容性,能够与牙槽骨形成牢固的骨结合,为种植牙提供稳定的支撑。牙冠部分常用的材质有烤瓷和全瓷。烤瓷牙价格相对较低,但可能存在金属过敏等问题;全瓷牙美观度高,生物相容性好,是目前比较理想的牙冠材料。

活动假牙的基托材料主要有塑料和金属。塑料基托价格便宜,但强度较低,容易老化;金属基托强度高,舒适度好,但价格相对较高。卡环材料一般为不锈钢或贵金属合金。固定假牙的烤瓷牙内层为金属,外层为瓷;全瓷牙则全部由陶瓷材料制成。

种牙与假牙的挂号问题

种牙与假牙的挂号问题

种牙挂号一般可以选择口腔专科医院的种植科,或者综合医院的口腔科。现在特别多医院都提供了多种挂号方式,如医院官网、微信公众号、电话等。在挂号时,建议提前了解医院的骨干医生信息和出诊时间,选择经验多的医生。如果是初诊,也可以先挂普通号进行初步检查和评估。

假牙挂号同样可以选择上述科室。对于活动假牙,一般在初诊时医生会进行口腔检查、取模等操作,后续还需要多次复诊进行调试。固定假牙则需要更严谨的设计和制作,挂号后按照医生的安排进行相应的检查和治疗。

如何选择种牙还是假牙

如何选择种牙还是假牙

选择种牙还是假牙需要综合考虑多个因素。如果患者的口腔条件较好,牙槽骨骨量充足,经济条件允许,且对牙齿功能和美观要求较高,那么种牙可能是更好的选择。但种牙手术有一定的适应症和禁忌症,如患有重度的心血管疾病、糖尿病未控制等情况可能不适合种牙。

如果患者年龄较大,牙槽骨条件较差,或者经济条件有限,假牙也是一种可行的修复方式。活动假牙价格相对较低,安装过程相对简单;固定假牙则在舒适度和美观度上优于活动假牙。

种牙与假牙的术后护理

种牙与假牙的术后护理

种牙术后护理非常重要。术后当天应避免刷牙漱口,饮食以温凉、软食为主。在修复期间,要按照医生的嘱咐服用抗生素,防止感染。同时,要注意口腔卫生,使用软毛牙刷轻轻刷牙,避免刺激伤口。定期到医院复诊,检查种植体的愈合情况。

假牙的护理也不容忽视。活动假牙需要每天取下清洗,避免食物残渣残留滋生细菌。晚上睡觉时应将假牙取下浸泡在清水中。固定假牙要注意保持口腔清洁,定期进行口腔检查,防止基牙发生病变。

种牙与假牙的费用对比

种牙与假牙的费用对比

种牙的费用相对较高,一般一颗种植牙的价格在几千元到上万元不等,这主要与种植体的品牌、牙冠材料、医生技术等因素有关。而且种牙手术可能还会涉及到一些其他费用,如检查费、手术费等。

假牙的费用则因类型而异。活动假牙的价格相对较低,几百元到数千元都有;固定假牙的价格一般在几千元左右,但如果选择全瓷牙等高端材料,费用会更高一些。总体来说,种牙的费用普遍高于假牙。

总结与建议

种牙和假牙各有优缺点,种牙在功能、耐用性和美观度上具有明显优势,但费用较高,对患者的口腔条件和身体状况要求也较高;假牙价格相对较低,适用范围更广,但在舒适度、功能修复等方面可能不如种牙。

如果您正在为种牙假牙的选择而烦恼,建议您到正规的口腔医院进行详细的检查和询问,医生会根据您的具体情况为您制定更适合的修复方案。不要盲目跟风,要结合自身实际情况做出理性的选择。如果您还有其他关于种牙假牙的问题,欢迎随时询问。

本院用户评论

评价 (已有0人点评)

热门医院

北京美冠塔口腔医院(慈云寺分院)
地址:北京市朝阳区八里庄西里99号3层307、308
立即预约
北京佳美口腔医院(广渠门门诊)
地址:北京市东城区广渠门内大街41号雍贵中心B座2楼41-210室
立即预约
北京美冠塔口腔医院(酒仙桥分院)
地址:北京市朝阳区酒仙桥路甲11号零秒社区首层
立即预约