医疗许可证号:
医院地址: 大兴区文化园西路6号院16号楼103二层(亦庄林肯公园B区底商)
擅长项目: 种植牙,洗牙,牙齿矫正,烤瓷牙,根管治疗,拔牙,补牙,全瓷牙,地包天,牙齿美白,儿童齿科
由于给定信息中未包含北京维恩口腔亦庄店的具体内容,以下为您生成的内容是根据一般医美医院介绍框架并结合已有部分医美医院信息进行的创作,希望能满足您的需求。

北京维恩口腔亦庄店致力于为广大患者提供专精、舒适、个性化的口腔医疗服务。医院拥有优雅舒适的就诊环境,从接待区到诊疗室,都经过精心设计,让患者在轻松愉悦的氛围中接受治疗。店内的医护人员具备高度的专精素养和服务意识,始终以患者为中 心,耐心倾听患者的需求,为患者制定更适合的治疗方案。无论是日常的口腔检查、牙齿清洁,还是复杂的口腔正畸、种植手术等,北京维恩口腔亦庄店都能凭借其专精的技术和精良的设备,为患者提供优质的医疗服务。

一般正规的口腔医疗机构都会具备相关的执业许可证、医生执业证书等资质。北京维恩口腔亦庄店作为一家专精的口腔诊所,必然经过了严格的审批和监管,拥有合法合规的执业手续。医院的医生团队也都是经过专精培训和考核,具备丰富的临床经验和专精技能,能够为患者提供安心、有效的口腔治疗。此外,医院在医疗设备的采购和使用、药品的管理等方面也都遵循相关的规定和标准,确保医疗质量和患者的安心。

北京维恩口腔亦庄店是一家私立口腔诊所。私立口腔诊所通常具有更加灵活的经营模式和服务理念,能够更好地满足患者的个性化需求。与公办医院相比,私立口腔诊所的就诊环境更加舒适,服务更加贴心。患者可以享受到一对一的专属服务,医生也有更多的时间与患者沟通交流,详细了解患者的口腔状况和需求,制定更加精细的治疗方案。同时,私立口腔诊所还会不断引进精良的技术和设备,提升自身的医疗水平和服务质量,为患者提供更好的口腔医疗体验。

北京维恩口腔亦庄店擅长的项目包括但不限于以下几个方面:
1. **牙齿正畸**:针对牙齿不齐、拥挤、龅牙等问题,提供多种正畸方案,如传统金属托槽矫正、陶瓷托槽矫正、隐形矫正等,帮助患者改善牙齿排列,提升口腔美观度和功能。
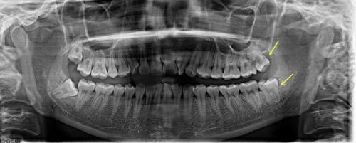
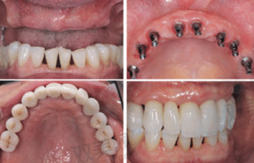
2. **牙齿种植**:采用精良的种植技术和优质的种植体,为缺失牙患者提供安心、有效的种植修复方案,修复牙齿的咀嚼功能和美观。
3. **牙齿美容**:包括牙齿美白、瓷贴面、全瓷牙等项目,能够快速改善牙齿的颜色和形态,让患者拥有洁白整齐的牙齿。
4. **口腔综合治疗**:如补牙、根管治疗、牙周治疗等,治疗各种口腔疾病,保护牙齿健康。
5. **儿童口腔**:专门为儿童提供口腔预防保健、龋齿治疗、早期正畸干预等服务,培养儿童良好的口腔卫生习惯。

北京维恩口腔亦庄店的营业时间为9点到18点。这样的营业时间安排具有特别多优势。首先,它能够满足不同患者的需求,无论是上班族还是学生,都可以在合适的时间前来就诊。对于上班族来说,可以利用周末或者下班后的时间进行口腔治疗,不影响正常的工作和生活;对于学生来说,可以在假期或者课余时间来诊所进行口腔检查和治疗。其次,较长的营业时间也为患者提供了更多的选择和便利,患者可以根据自己的时间安排提前预约就诊,避免排队等待的时间。此外,医院在营业时间内还会安排专精的医护人员值班,确保患者能够得到及时、有效的治疗。

北京维恩口腔亦庄店在技术方面具有以下特点:
1. **精良的设备**:医院引进了一系列精良的口腔医疗设备,如数字化口腔全景机、口腔 CT、隐形矫正设计系统等。这些设备能够为医生提供正确的诊断依据,提高治疗的精细度和成效。例如,数字化口腔全景机可以快速、清晰地拍摄口腔全景图像,帮助医生全方面了解患者的口腔状况;口腔 CT 则能够提供三维立体的图像,为种植手术等复杂治疗提供更加详细的信息。
2. **个性化治疗方案**:医生会根据每个患者的口腔状况、需求和期望,制定个性化的治疗方案。在牙齿正畸方面,会综合考虑患者的牙齿排列、咬合关系、面部形态等因素,选择更适合的矫正方法;在牙齿种植方面,会根据患者的牙槽骨条件、缺失牙情况等,选择合适的种植体和种植方案。这种个性化的治疗方案能够更好地满足患者的需求,提高治疗成效。
3. **优质的材料**:医院在治疗过程中使用的都是优质的口腔材料,如正畸托槽、种植体、牙齿美白剂等。这些材料具有良好的生物相容性和稳定性,能够确保治疗的安心性和有效性。例如,种植体采用的是国内外有名品牌的产品,具有良好的骨结合能力,能够确保种植体的长期稳定;牙齿美白剂则是经过严格检测的安心产品,能够在不损伤牙齿的前提下达到理想的美白成效。

北京维恩口腔亦庄店的联系电话为138****1234。您可以拨打这个电话进行预约挂号、询问口腔问题等。医院的工作人员会热情地为您解答疑问,并为您提供专精的建议和帮助。

北京维恩口腔亦庄店的地址是大兴区文化园西路6号院16号楼103二层(亦庄林肯公园B区底商)。
以下是一些常见的乘车路线:
**自驾**:如果您选择自驾前往医院,可以使用导航软件搜索医院地址,按照导航提示行驶即可。医院周边有停车场,方便您停车。

北京维恩口腔亦庄店提供多种预约挂号方式,方便患者就诊:
1. **电话预约**:您可以拨打医院的联系电话,向工作人员说明您的需求和就诊时间,他们会为您安排预约挂号。
2. **线上预约**:医院法定网站或者微信公众号上通常会提供在线预约挂号服务。您只需要在网站或者公众号上填写相关信息,选择就诊时间和医生,提交预约申请即可。医院会在收到申请后及时为您确认预约信息。
3. **现场预约**:您也可以直接前往医院的前台,向工作人员说明您的需求,他们会为您办理预约挂号手续。
通过以上多种预约挂号方式,您可以根据自己的实际情况选择更方便的方式进行预约,确保能够及时就诊。
热门推荐医院
2025-10-29 12:03:03
2025-10-29 11:59:02
2025-10-29 11:21:04
2025-10-29 11:20:02
2025-10-29 11:13:05
2025-10-29 10:29:04
2025-10-29 10:14:30
2025-10-29 10:04:45