您的位置: 双美网 > 医院 > 北京佳美口腔医院(亦庄店)
医疗许可证号:
医院地址: 北京市大兴区荣华南路7号院4号楼底商103号
擅长项目: 种植牙,洗牙,牙齿矫正,烤瓷牙,根管治疗,拔牙,补牙,全瓷牙,地包天,牙齿美白,儿童齿科
在北京亦庄地区,有一家备受瞩目的口腔医院——北京佳美口腔医院(亦庄店)。它凭借专精的医疗团队、精良的技术设备以及贴心的服务,在当地口腔医疗领域树立了良好的口碑。接下来,让我们详细了解一下这家医院。

北京佳美口腔医院(亦庄店)是佳美口腔连锁机构的重要组成部分。佳美口腔作为国内有名的口腔医疗品牌,有着多年的发展历史和丰富的临床经验。亦庄店秉承了佳美口腔的优良传统,致力于为患者提供全方面、高品质的口腔医疗服务。医院环境舒适宜人,装修风格温馨,为患者营造了一个轻松、愉悦的就诊氛围。同时,医院还采用了精良的管理模式,确保医疗服务的效率高、规范。

北京佳美口腔医院(亦庄店)是一家正规的口腔医院。它拥有完善的执业资质,经过了相关部门的严格审核和批准。医院的医生团队均具备专精的口腔医学知识和丰富的临床经验,他们都持有合法有效的执业证书。此外,医院在医疗设备的采购和使用上也严格遵循相关规定,确保医疗质量和安心。

北京佳美口腔医院(亦庄店)是私立口腔医院。私立医院的优势在于能够提供更加个性化、多元化的服务。与公办医院相比,佳美口腔(亦庄店)可以根据患者的不同需求和情况,制定更加贴合实际的治疗方案。同时,私立医院在服务细节上也更加注重,能够为患者提供更加贴心、周到的服务。例如,医院会为患者提供一对一的专属服务,让患者在就诊过程中感受到家一般的温暖。

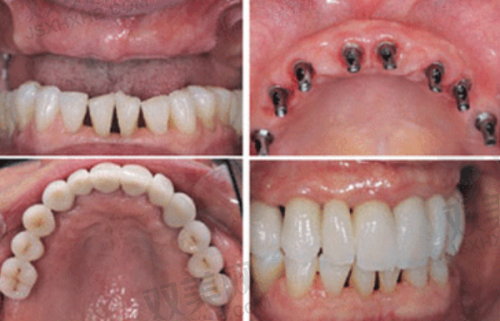
北京佳美口腔医院(亦庄店)擅长的项目众多,涵盖了口腔种植、口腔正畸、口腔修复、口腔美容、口腔综合治疗等多个领域。在口腔种植方面,医院引进了精良的种植技术和设备,能够为患者提供安心、效率高、美观的种植解决方案。口腔正畸项目中,医生会根据患者的牙齿情况和面部特征,制定个性化的正畸方案,帮助患者拥有整齐、美观的牙齿。口腔修复则包括烤瓷牙、全瓷牙、活动假牙等多种修复方式,能够满足不同患者的需求。口腔美容项目如牙齿美白、贴面等,可以让患者的牙齿更加洁白亮丽。口腔综合治疗则包括补牙、拔牙、根管治疗等常见的口腔疾病治疗。

北京佳美口腔医院(亦庄店)的营业时间为9点到18点。这样的营业时间安排具有较大的优势,它充分考虑了患者的需求。无论是上班族还是学生,都可以在合适的时间前往医院就诊。对于上班族来说,可以利用周末或下班后的时间来解决口腔问题,不会影响正常的工作。对于学生来说,也可以在课余时间进行口腔检查和治疗。而且,医院在节假日也会安排值班医生,方便患者随时就诊。

北京佳美口腔医院(亦庄店)的技术特点十分显著。首先,医院引进了国内外精良的口腔医疗设备,如数字化口腔全景机、口腔CT等,这些设备能够为医生提供更加正确、详细的诊断信息,从而制定更加科学、合理的治疗方案。其次,医院不断引进和推广精良的口腔治疗技术,如微痛拔牙技术、微创种植技术等,让患者在治疗过程中减少痛苦,缩短修复时间。此外,医院还注重 医生的技术培训和学术交流,定期组织医生参加国内外的学术会议和培训课程,不断提升医生的技术水平和专精素养。

北京佳美口腔医院(亦庄店)的联系电话是010 - ****5678。患者可以通过拨打这个电话进行询问、预约挂号等服务。医院的工作人员会热情、耐心地为患者解答疑问,并根据患者的需求进行安排。

北京佳美口腔医院(亦庄店)的地址是北京市大兴区荣华南路7号院4号楼底商103号。关于乘车路线,这样详细的乘车路线信息,方便了患者快速、正确地找到医院。

北京佳美口腔医院(亦庄店)提供多种预约挂号方式。患者可以拨打医院的联系电话进行电话预约,工作人员会为患者安排合适的就诊时间。也可以通过医院的法定网站或微信公众号进行在线预约,只需在相应的平台上填写个人信息和就诊需求,即可完成预约。此外,患者还可以直接到医院的前台进行现场预约。这些多样化的预约挂号方式,让患者可以根据自己的实际情况选择更便捷的方式进行预约。
热门推荐医院
2025-10-27 11:44:05
2025-10-27 11:22:02
2025-10-27 11:13:03
2025-10-27 11:10:02
2025-10-27 10:59:03
2025-10-27 10:38:15
2025-10-27 10:35:03
2025-10-27 10:33:02